wissen.de Artikel

Wie groß ist die Tuberkulose-Gefahr?

Der Ausbruch der Tuberkulose an einer Schule in Baden-Württemberg hat jüngst für Aufsehen gesorgt: Insgesamt mehr als hundert Schüler und Lehrer hatten sich mit der Infektionskrankheit angesteckt, bei vier Kindern brach die Erkrankung aus. Doch wie häufig sind solche Fälle in Deutschland überhaupt? Was sind die Symptome einer Tuberkulose - und wie wird sie behandelt? Die wichtigsten Fakten im Überblick.
DAL, 08.08.2019

Mycobacterium tuberculosis - der Erreger der Tuberkulose.

CDC

Was verursacht Tuberkulose?

Die Tuberkulose kann durch unterschiedliche Arten von Bakterien verursacht werden, allen voran dem Micobacterium tuberculosis. Die Erreger werden per Tröpfcheninfektion zum Beispiel beim Husten oder Niesen von Mensch zu Mensch übertragen und befallen in der Regel die Lunge. In seltenen Fällen können jedoch auch andere Organe betroffen sein.

Nicht immer macht ein Befall mit Tuberkulosebakterien gleich krank. Bei einem Großteil der Infizierten gelingt es dem Immunsystem, die Erreger in Schach zu halten, sodass die Erkrankung nicht ausbricht. Mediziner sprechen dann von einer latenten Tuberkulose. Aktuellen Schätzungen zufolge könnte ein Viertel der Weltbevölkerung stiller Träger der Infektionskrankheit sein. Auch die latente Tuberkulose kann jedoch irgendwann in ihre krankmachende Form übergehen – zum Beispiel, wenn die Immunabwehr geschwächt wird.

Wie häufig sind Krankheitsfälle?

Die Tuberkulose existiert seit Menschengedenken und befiel schon vor 70.000 Jahren unsere afrikanischen Vorfahren. Während die Infektionskrankheit früher als "Weiße Pest" oder "Schwindsucht" gefürchtet war, hat sie in vielen Teilen der Welt inzwischen ihren Schrecken verloren. Doch besiegt ist sie noch lange nicht.

Die Tuberkulose gehört neben HIV/ Aids und Malaria zu den häufigsten Infektionskrankheiten und bricht jedes Jahr bei Millionen von Menschen aus, bis zu zwei Millionen versterben daran. Betroffen sind vor allem Entwicklungsländer. Aber auch in Deutschland kommt es immer wieder zu Krankheitsfällen – wie zuletzt in der Schule in Baden-Württemberg. Nach Angaben des Robert-Koch-Instituts erkranken hierzulande pro Jahr rund 5.000 Personen an dieser Infektionskrankheit. Damit zählt die Tuberkulose bei uns zu den seltenen Krankheiten.

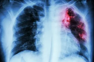
Unbehandelt kann die Tuberkulose der Lunge empfindlich schaden.

iStock.com, stockdevil

Wie äußert sich eine Tuberkulose?

Zu den ersten Symptomen einer aktiven Lungentuberkulose gehören leichtes Fieber, Abgeschlagenheit und Husten, der über Wochen anhält. Bei schweren Verläufen kommt es später zu Husten mit Auswurf, Atemnot, Brustschmerzen und Gewichtsverlust. Unbehandelt kann die Tuberkulose der Lunge empfindlich schaden und sich über die Blutbahn auch auf andere Organe ausbreiten. Im Extremfall endet die Infektion tödlich.

Wie wird die Erkrankung behandelt?

Zum Glück gibt es heutzutage gute Möglichkeiten, eine Tuberkulose zu behandeln. Die Bakterien werden üblicherweise mit einer Kombination unterschiedlicher Antibiotika wie Isoniazid, Rifampicin, Pyrazinamid und Ethambutol bekämpft. Die Therapie zieht sich dabei in der Regel über einen Zeitraum von sechs Monaten.

Die zunehmende Ausbreitung resistenter Stämme erschwert die Behandlung jedoch manchmal. Besonders problematisch sind in diesem Zusammenhang multiresistente Tuberkuloseerreger, gegen die bereits mehrere gängige Medikamente nicht mehr wirken. In solchen Fällen greifen Mediziner auf sogenannte Zweitrang- oder Reservemedikamente zurück. Meist wird die Therapie dabei um gleich mehrere solcher Mittel ergänzt und verlängert sich dadurch auch noch einmal.

Mehr Artikel zu diesem Thema

Weitere Artikel aus dem Wahrig Herkunftswörterbuch

Weitere Artikel aus dem Bereich Gesundheit A-Z

Weitere Artikel aus dem Vornamenlexikon