wissen.de Artikel

Alles über Weisheitszähne

Die Weisheitszähne sind ein berühmt-berüchtigter Störenfried im Mund. Denn diese hintersten Backenzähne sind dafür bekannt, uns Probleme zu bereiten: Sie kommen spät und oft nur halb heraus, wachsen kreuz und quer und können andere Zähne schädigen und uns wehtun. Doch warum sind gerade diese Zähne so problematisch? Warum haben wir sie überhaupt? Und woran merke ich, dass sie raus müssen?
AMA, 24.11.2022
Symbolbild Weisheitszahn

alex-mit, GettyImages

Die Weisheitszähne sind ein Extra-Set an Backenzähnen, das meist zwischen dem 17. und 25. Lebensjahr aus dem Zahnfleisch hervorbricht – viel später als alle anderen bleibenden Zähne des Menschen. Wenn diese ganz hinten im Kiefer stehenden Zähne dann endlich rauskommen, ist für sie aber häufig kein Platz mehr. Als Folge bleiben die Weisheitszähne oft halb im Kiefer stecken oder wachsen schräg. Dadurch können sie andere Zähne schädigen oder Infektionen wie Karies verursachen. Das ist aber längst nicht bei jedem der Fall. Häufig bleiben die Zähne auch einfach im Kiefer und verhalten sich ruhig. Doch wenn sie uns Schmerzen bereiten, gibt es meist nur eine Lösung: Sie müssen raus.

Warum haben wir Weisheitszähne?

Wenn Weisheitszähne bei so vielen Menschen zu Komplikationen führen, was bringen sie uns dann überhaupt? Weisheitszähne sind wortwörtlich aus der Zeit gefallen. Sie sind ein Relikt unserer frühen Vorfahren. Diese brauchten sie, um zähe Nahrung damit zu kauen. Platzmangel im Mund war damals noch kein Thema, denn unsere Vorfahren hatten größere Kiefer als wir und die Extra-Zähne kamen dort problemlos unter.

Die Probleme begannen erst, als die frühen Menschen das Kochen erfunden hatten. Dadurch wurde ihre Nahrung weicher und einfacher zu kauen. Die Kaumuskeln bildeten sich zurück und damit auch ihr großer Kiefer. Die Weisheitszähne blieben allerdings, obwohl sie heute so gut wie keine Funktion mehr haben. Solche Überbleibsel aus der Entwicklungsgeschichte, die im Laufe der Zeit ihre ursprüngliche Aufgabe verloren haben, nennt man Rudimente.

Wann müssen sie raus?

Früher galt häufig die Empfehlung, vorhandene Weisheitszähne einfach generell und präventiv zu ziehen. Heute richten sich Zahnärzte und Kieferchirurgen eher danach, ob die Weisheitszähne auch tatsächlich Probleme bereiten oder ob es zumindest wahrscheinlich ist, dass sie das in Zukunft tun. Diese Wahrscheinlichkeit lässt sich ermitteln, indem schon bei Jugendlichen eine Röntgenaufnahme des Kiefers gemacht wird. Daran können Zahnärzte erkennen, in welchem Winkel die Weisheitszähne zum Zahnfleisch wandern werden und ob das zu Komplikationen führen könnte.

Weisheitszähne müssen gezogen werden, wenn sie bereits zu Schmerzen und Schäden am Kiefer geführt haben beziehungsweise wahrscheinlich dazu führen werden, oder wenn sie die Entwicklung des Gebisses beeinträchtigen. Ansonsten gilt: Wenn nicht zu erwarten ist, dass die Weisheitszähne andere Zähne beeinträchtigen, können sie im Kiefer bleiben.

Häufig brechen Weisheitszähne nämlich gar nicht oder nur teilweise durch. Man schätzt, dass bis zu 80 Prozent der jungen Erwachsenen in Europa mindestens einen Weisheitszahn haben, der im Kiefer ruht und nicht durchgebrochen ist. Das verursacht häufig keine Beschwerden. Und selbst wenn Weisheitszähne durchbrechen, muss das auch nicht zwingend zu Problemen führen. Es kann durchaus sein, dass sie sich einfach beschwerdefrei in das Gebiss einfügen.

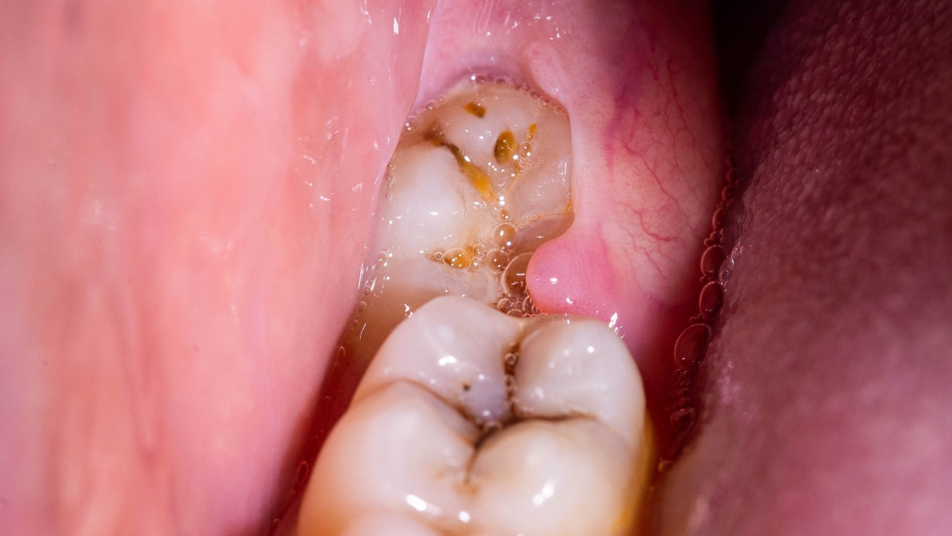
Unvollständig durchgebrochener Weisheitszahn
Weisheitszähne , die keinen ausreichenden Platz finden und nur unvollständig durchbrechen, bilden oft eine Art kapuzenförmige Zahnfleischtasche, die sehr anfällig für Entzündungen ist.

Henadzi Pechan, GettyImages

Wie verläuft eine OP?

Bei einer Weisheitszahn-Operation wird die entsprechende Stelle betäubt, entweder lokal oder unter Vollnarkose. Der Eingriff dauert meist 20 bis 60 Minuten. Falls alle vier Zähne raus müssen, ist es möglich, sie alle auf einmal ziehen zu lassen oder stufenweise vorzugehen, zum Beispiel erst die linke und später die rechte Kieferseite.

Wenn ein Weisheitszahn bereits komplett durch das Zahnfleisch durchgebrochen ist, kann er wie ein normaler Zahn gezogen werden. Bei solchen, die sich noch im Kiefer befinden, muss der Chirurg jedoch zunächst das Zahnfleisch aufschneiden, um an den Weisheitszahn zu gelangen. Je nach Lage und Form zieht er den Zahn dann entweder im Ganzen oder zerteilt ihn zuvor in Einzelstücke. Ist das geschafft, vernäht er die Wunde wieder. Die Fäden müssen dann nach sieben bis zehn Tagen raus.

In den ersten Tagen nach der OP sollten Betroffene nur weiche Nahrung und im besten Fall keine heißen Getränke zu sich nehmen. Gegen die Schmerzen hilft es, die Schwellung zu kühlen und sich viel auszuruhen. Die Entfernung der Weisheitszähne gilt als problemloser Routineeingriff. Komplikationen – wie Wundinfektionen oder die Schädigung angrenzender Zähne – treten nur äußerst selten auf.

Generationen ohne Weisheitszähne

In Zukunft wird es immer weniger Menschen geben, denen die Weisheitszähne entfernt werden müssen. Denn: Sie werden seltener. Bei 35 Prozent der Menschen fehlen sie mittlerweile komplett. Ob jemand Weisheitszähne hat oder nicht, ist allerdings regional sehr unterschiedlich. Während in Tasmanien praktisch niemand Weisheitszähne besitzt, kommen sie in 100 Prozent der indigenen mexikanischen Bevölkerung vor. Die Unterschiede sind vermutlich genetisch bedingt.

Weitere Artikel aus dem Wahrig Herkunftswörterbuch

Weitere Artikel aus dem Vornamenlexikon