wissen.de Artikel

Kreidezähne - die neue Volkskrankheit?

Zahnärzte sind alarmiert: Immer mehr Kinder in Deutschland leiden unter porösen und besonders kariesanfälligen Zähnen. Bereits jeder dritte Zwölfjährige ist inzwischen von diesen sogenannten Kreidezähnen betroffen. Mediziner warnen angesichts des offenbar zunehmenden Problems vor einer neuen Volkskrankheit - und rätseln über die möglichen Ursachen.
DAL, 28.05.2018

Neue Volkskrankheit: Zahnärzte warnen vor sogenannten "Kreidezähnen"

iStock.com, PeopleImages

Lange Zeit war Karies hierzulande das größte Problem in den Mündern von Kindern. Inzwischen gibt ein anderes Krankheitsbild Zahnärzten jedoch noch größeren Grund zur Sorge: Immer mehr Heranwachsende leiden unter sogenannten Kreidezähnen. Mediziner sprechen von der Molaren-Inzisiven-Hypomineralisation, kurz MIH. Bei dieser Erkrankung bildet sich der Zahnschmelz nicht richtig aus und die Zähne bahnen sich bereits mit Schäden ihren Weg durch den Kiefer in die Mundhöhle - meist sind die bleibenden Backenzähne, seltener die bleibenden Schneide- oder die Milchzähne betroffen.

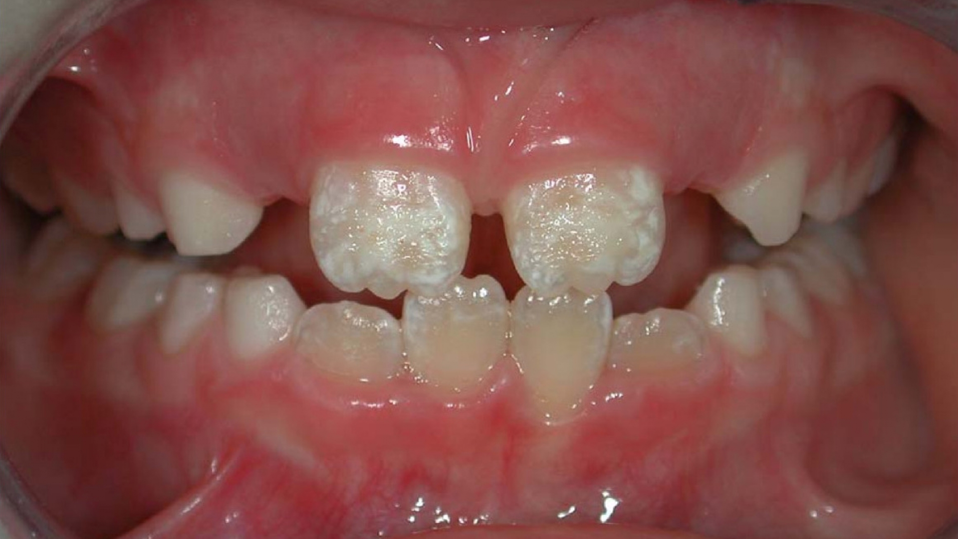
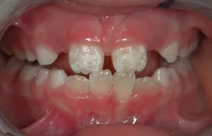
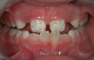
Geschädigte Zähne weisen auffällige gelblich oder weißlich-cremefarbene Flecken auf. Zudem sind sie weicher und poröser als gesunde Beißer, sodass sie unter anderem leicht absplittern. Stellenweise fehlen nach dem Durchbruch der Zähne sogar ganze Schmelz- oder Zahnbeinareale. Diese Fehlstrukturierungen sind weit mehr als ein optisches Problem: Betroffene Patienten klagen über Schmerzen beim Trinken, Essen und Zähneputzen. Außerdem sind ihre Zähne wegen der rauen Oberfläche und der schlechten Substanz besonders kariesanfällig.

Über 30 Prozent betroffen

Die Deutsche Gesellschaft für Zahn-, Mund- und Kieferheilkunde warnt in einer aktuellen Mitteilung vor einer neuen Volkskrankheit. Denn im Durchschnitt leiden heute zehn bis 15 Prozent aller Kinder in Deutschland an MIH. Bei den Zwölfjährigen liegt die Quote laut einer Studie mittlerweile sogar bei über 30 Prozent. Doch wie kommt es zu den Kreidezähnen? Obwohl die Zahl der Betroffenen wächst, ist darüber bislang nur wenig bekannt.

Fakt ist: An mangelnder Mundhygiene kann es nicht liegen. Schließlich treten die Schäden bereits während der frühen Phase der Zahnentwicklung auf: Gelangt ein Zahn gesund in die Mundhöhle, besteht keine Gefahr mehr. Mediziner gehen daher davon aus, dass der Grundstein für MIH während der Schwangerschaft im Mutterleib sowie in den ersten Lebensjahren gelegt wird - bevor die bleibenden Zähne kommen.

Geschädigte Zähne weisen auffällige gelblich oder weißlich-cremefarbene Flecken auf.

Übeltäter Bisphenol A?

Die genauen Mechanismen dahinter sind zwar unklar. Doch es gibt einige Hinweise auf mögliche Ursachen. So deuten Untersuchungen auf einen Zusammenhang mit dem häufig in Weichmachern enthaltenen Bisphenol A hin: Bei Versuchen mit Ratten entwickelten die Tiere nach der Gabe des umstrittenen Stoffes poröse Zähne. Bisphenol A wird vielen Kunststoffprodukten unseres Alltags zugesetzt und kann von Kindern beispielsweise über die Nahrung aufgenommen werden. In Babyflaschen ist sein Einsatz genau aus diesem Grund seit einigen Jahren verboten.

Als weitere potenzielle Ursachen kommen unter anderem Probleme während der Schwangerschaft, Infektionskrankheiten, Windpocken, Antibiotika und Einflüsse durch Umweltgifte wie Dioxine in Betracht. Wahrscheinlich ist, dass mehrere Faktoren zusammenkommen müssen, damit MIH entsteht.

Schutz vor Karies

Weil die Erkrankung so viele Rätsel aufgibt, ist eine sinnvolle Prävention bisher nicht möglich. Allerdings können betroffene Zähne mit der richtigen Pflege vor noch größeren Schäden bewahrt werden. Wichtig sind angesichts des erhöhten Risikos vor allem Maßnahmen, um die Zähne vor Karies zu schützen.

Neben dem Zähneputzen empfehlen Experten unter anderem die Verwendung von Fluorid. Der Stoff unterstützt den Körper dabei, Mineralien in den Zahnschmelz einzubauen. "Regelmäßige Untersuchungen beim Zahnarzt, die Behandlung mit Fluoridlack und der Aufbau der Zähne mit verschiedenen Techniken können dazu beitragen, auch von MIH befallene Zähne ein Leben lang zu erhalten", schreibt die Deutsche Gesellschaft für Zahn-, Mund- und Kieferheilkunde.

Weitere Artikel aus dem Kalender

Mehr Artikel zu diesem Thema

Weitere Artikel aus dem Wahrig Herkunftswörterbuch

Weitere Artikel aus dem Großes Wörterbuch der deutschen Sprache

Weitere Lexikon Artikel

Weitere Artikel aus dem Wahrig Herkunftswörterbuch

Weitere Artikel aus dem Vornamenlexikon