wissen.de Artikel

Chlamydien - die stille Gefahr

Sie sind allgegenwärtig, aber niemand spricht gerne über sie: Chlamydien. Mit keiner sexuell übertragbaren Krankheit infizieren sich die Deutschen so häufig wie mit dieser. Das Gefährliche daran: Die bakterielle Infektion verläuft häufig symptomlos und wird in vielen Fällen nicht erkannt. Unbehandelt aber können Chlamydien Unfruchtbarkeit und andere schwere Spätfolgen verursachen. Umso wichtiger sind Safer Sex und Früherkennung.
DAL, 19.09.2019

Chlamydien zählen zu den sexuell übertragbaren Erkrankungen. Die englischen Kürzel STD und STI sind auch im Deutschen gebräuchlich.

iStock.com, tumsasedgars

Infektionen mit Chlamydien gehören zu den häufigsten sexuell übertragbaren Krankheiten weltweit (STIs) - in Deutschland sind sie sogar die am weitesten verbreitete Geschlechtskrankheit. Schätzungsweise 300.000 Menschen infizieren sich hierzulande jedes Jahr neu mit den Bakterien. Weil es keine Meldepflicht für diese Infektionen gibt, könnte die Zahl jedoch auch weit darüber liegen.

Die Erreger wie Chlamydia trachomatis werden vor allem bei sexuellen Handlungen übertragen und können außerdem bei der Geburt von der Mutter auf das Neugeborene übergehen. Werden sie rechtzeitig erkannt, lassen sich Chlamydien-Bakterien mithilfe von Antibiotika gut bekämpfen. Das Tückische aber: Bei Dreiviertel der Infektionen zeigen sich keine Symptome. Die Erkrankung bleibt dann oft unbemerkt– und genau das macht sie so problematisch.

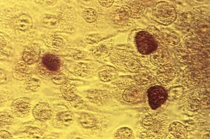
Zellkultur mit "Chlamydia trachomatis"-Einschlüssen

CDC / Public Domain

Unfruchtbarkeit droht

Denn ohne entsprechende medikamentöse Behandlung droht Männern, weitaus häufiger aber Frauen die Unfruchtbarkeit, wenn die Erreger im Körper aufsteigen und die inneren Geschlechtsorgane entzünden. Chlamydien sind in Deutschland die häufigste Ursache für nicht-angeborene Unfruchtbarkeit.

Doch das ist nicht die einzige Gefahr: Auch Eileiter-Schwangerschaften können die Folge von Chlamydien-Infektionen sein. Zudem besteht zumindest der Verdacht, dass eine chronische Infektion mit den Bakterien Eierstockkrebs fördern kann. Demnach lösen die Erreger genetische und epigenetische Veränderungen der Eileiterzellen aus und stören unter anderem deren DNA-Reparatur und Apoptose-Programme – wichtige Schutzmechanismen vor Entartung.

Impfung in Sicht?

Um solche Folgen unbemerkter Chlamydien-Infektionen in Zukunft zu verhindern, suchen Wissenschaftler schon länger nach einem potenziellen Impfstoff. Zuletzt vermeldete ein Forscherteam um Sonya Abraham vom Imperial College London einen ersten Erfolg: Erstmals hat ein potenzieller Impfstoff gegen Chlamydien eine sogenannte Phase-1-Studie überstanden.

Dabei wiesen die Forscher nach, dass ihr gegen die gängigsten Varianten von Chlamydien-Erregern gerichtetes Vakzin namens CTH522 das Immunsystem aktiviert und für gesunde Menschen gut verträglich ist. Damit ist zwar klar, dass Geimpfte eine Immunantwort gegen Chlamydien aufbauen können. Allerdings muss nun noch untersucht werden, ob der Impfstoff einen echten Impfschutz aufbaut - also wirksam vor einer echten Infektion schützt.

Ohne wirksame Impfung hilft nur die konsequente Verwendung von Kondomen.

iStock.com, ChesiireCat

Kondome schützen

Ist die Vakzin-Entwicklung eines Tages erfolgreich, wäre dies ein wichtiger Schritt im Kampf gegen die Geschlechtskrankheit. "Eine Impfung wäre dann – ähnlich wie beim humanen Papillomvirus (HPV) – für Mädchen und Jungen vor dem ersten Sexualkontakt sinnvoll", sagt Dagmar Heuer vom Robert-Koch-Institut (RKI) in Berlin.

Bis es soweit ist, sind andere Maßnahmen jedoch umso wichtiger: Die konsequente Verwendung von Kondomen - auch beim Oralverkehr und beim Gebrauch von Sexspielzeug - kann die Übertragung von Chlamydien und damit auch die gefährlichen Spätfolgen in der Regel verhindern. Regelmäßige Früherkennungsuntersuchungen sind ein weiterer wesentlicher Baustein der Prävention.

Kostenloser Test

Bis zum vollendeten 25. Lebensjahr hat jede Frau einmal im Jahr das Recht, bei ihrem Frauenarzt kostenlos einen Urintest auf eine Infektion durchführen zu lassen. Auch im Rahmen der Schwangerschaftsvorsorge werden Frauen routinemäßig auf Chlamydien-Erreger untersucht. Bei einem positiven Testergebnis wird den Betroffenen und ihren Sexualpartnern ein Antibiotikum verschrieben. Meist verschwindet der Keim mit diesen Mitteln innerhalb weniger Wochen.

Von der Selbsttherapie mit Hausmitteln oder Antiseptika aus dem Drogeriemarkt raten Experten dagegen dringend ab. Auch Chlamydien-Selbsttests für die Diagnose können einen Besuch beim Arzt nicht ersetzen.

Weitere Artikel aus dem Wahrig Herkunftswörterbuch

Weitere Artikel aus dem Vornamenlexikon