wissen.de Artikel

Zahnpflege bei Kindern - Wie viel Fluorid für gesunde Zähne?

Unsere Zähne sind heute viel besser als früher - auch dank Zahnpasta mit Fluoridzusatz. Schon Kleinkindern sollten die Beißerchen mit fluoridhaltigen Zahncremes geputzt werden, empfehlen Experten und haben kürzlich sogar eine Verdopplung des Fluoridgehalts in Kinderzahnpasten beschlossen. Doch zu viel Fluorid ist auch nicht gut. Wie also finden Eltern das richtige Maß? Und was ist von Fluoridlacken und -tabletten zu halten?
Informationsstelle für Kariesprophylaxe / DAL, 27.05.2019

Eigentlich eine gute Sache: Fluoridhaltiger Zahnpasta ist es zu verdanken, dass in deutschen Gebissen heute gesündere Zähne stecken als noch vor einigen Jahrzehnten.

iStock.com, ChristopherBernard

Fluoride kommen überall in der Natur vor und stecken auch im menschlichen Körper: unter anderem als wichtiger Bestandteil unserer Zähne. Damit sich diese gut entwickeln und gesund bleiben, sollte gerade bei Kindern auf eine ausreichende Versorgung mit Fluorid geachtet werden. Über Nahrungsmittel wie Mineralwasser, schwarzen Tee oder Fisch lässt sich dabei allerdings nur ein kleiner Teil des Bedarfs decken.

"Durchschnittlich deckt die Fluoridaufnahme über die Nahrung etwa 15 Prozent des für den Zahnschutz notwendigen Bedarfs ab. Um Karies vorzubeugen, ist es aber wichtig, ausreichend Fluoride zuzuführen", betont Zahnmediziner Stefan Zimmer von der Informationsstelle für Kariesprophylaxe.

Auf die Dosis kommt es an

Aus diesem Grund sind vielen Zahnpflegemitteln heutzutage Verbindungen aus Fluor mit Stoffen wie Natrium oder Zinn beigefügt - nicht zuletzt dem Putzen mit fluoridhaltiger Zahnpasta ist es zu verdanken, dass in deutschen Mündern inzwischen gesündere Zähne stecken als noch vor einigen Jahrzehnten. Fluoridverbindungen fördern nämlich die Remineralisation des Zahnschmelzes: Sie schützen die äußere Schicht der Zähne vor Angriffen, helfen sie zu reparieren, und stärken dadurch den gesamten Zahn.

Wie so oft ist allerdings die Dosis entscheidend: Zu viel Fluorid über einen längeren Zeitraum kann bei Kindern eine sogenannte Dentalfluorose verursachen, die sich in weißlich bis braunen Flecken auf den bleibenden Zähnen äußert und den Zahnschmelz empfindlich schwächt. Hohe Konzentrationen können außerdem zu akuten Vergiftungserscheinungen führen. Doch dafür müsste ein fünfjähriges Kind schon den Inhalt einer ganzen Erwachsenen-Zahnpastatube auf einmal essen, wie die Stiftung Warentest erklärt.

Zahnpasta als Basis

Wie viel Fluorid also sollten Eltern ihren Kindern idealerweise geben und über welche Quellen? Experten empfehlen, bei der Kariesprophylaxe in erster Linie auf Zahnpasta zu setzen. Ab dem Durchbruch des ersten Zahnes sollte demnach zweimal täglich mit einer fluoridhaltigen Kinderzahnpasta geputzt werden - wie viel dabei auf die Bürste kommt, hängt vom jeweiligen Produkt ab.

Bisher enthielt Kinderzahnpasta in der Regel 500 ppm (parts per million) Fluorid und sollte laut Empfehlung in erbsengroßer Menge zum Einsatz kommen. Vor kurzem haben die zahnärztlichen Fachgesellschaften ihre Fluoridempfehlungen für Kleinkinder allerdings aktualisiert und die Hersteller von Kinderzahnpasten aufgerufen, den Fluoridgehalt auf 1.000 ppm zu verdoppeln.

Richtwerte für den Zahnpastaeinsatz bei Kleinkindern

Informationsstelle für Kariesprophylaxe

Reiskorn- oder erbsengroß?

Mediziner raten, diese "neuen" Pasten bei den Kleinsten zunächst nur in reiskorngroßer Menge einzusetzen - ab dem zweiten Geburtstag kann dann mit einer erbsengroßen Menge Zahnpasta mit 1.000 ppm Fluorid geputzt werden. Mit dem Erreichen des sechsten Lebensjahres sollte die Routine beim Zähneputzen erneut umgestellt werden: auf Junior- oder Erwachsenenzahncreme mit einem Fluoridgehalt von bis zu 1.450 ppm.

Gemeinsam mit der Zahnpasta bildet Speisesalz die Basis für einen guten Zahnschutz: "Mit dem Einstieg in die Familienkost, also etwa ab dem ersten Geburtstag, sollten Kinder ebenso von fluoridiertem Speisesalz profitieren wie die Eltern. Das gilt auch, wenn bereits eine fluoridierte Zahnpasta verwendet wird", sagt Zimmer.

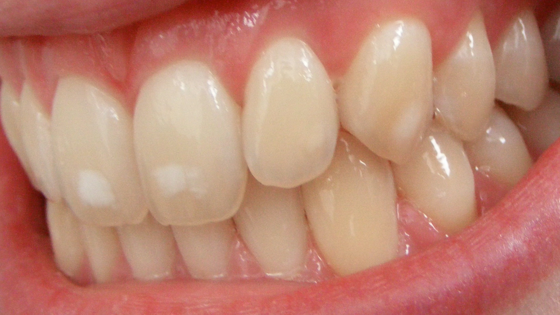
Bei der Zahnfluorose bilden sich weiße bis braune Verfärbungen in Form von Flecken oder Streifen auf der Zahnschmelzoberfläche.

Von Lacken und Tabletten

Zusätzlich kann Fluorid auch auf die Zähne "lackiert" werden. Dann sind die Fluoride über längere Zeit fest mit dem Zahn verbunden, können tief in den Schmelz einwandern und ihn auf diese Weise härten. "Das ist unbedenklich und hochwirksam", meint Zimmer. Tatsächlich hat der Gemeinsame Bundesausschuss (G-BA) von Ärzten, Krankenkassen und Kliniken Ende Januar beschlossen, die Behandlung mit Fluoridlack bereits für Kinder zwischen dem sechsten und 33. Lebensmonat viermal jährlich zu erstatten. Im Gegensatz dazu sollten Fluoridgele für zuhause erst ab dem sechsten Lebensjahr und immer nur in Absprache mit dem Zahnarzt verwendet werden.

Eine weitere gängige Fluoridquelle sind Tabletten: Viele Kinder erhalten ab dem sechsten Lebensmonat Fluoridtabletten vom Kinderarzt. In diesem Fall sollten Eltern in der Praxis nachfragen, ob fluoridierte Zahnpasta eine sinnvolle Ergänzung ist oder lieber darauf verzichtet werden sollte - entscheidend dabei ist die Dosierung der Mittel.

Grundsätzlich können sich Eltern in Sachen Fluorid an der empfohlenen Maximaldosis orientieren: Sie liegt für Kinder bis zu sechs Jahren bei 0,05 bis 0,07 Milligramm Gesamtaufnahme pro Kilogramm Körpergewicht und Tag.

Weitere Artikel aus dem Wahrig Herkunftswörterbuch

Weitere Artikel aus dem Vornamenlexikon