wissen.de Artikel

Epstein-Barr-Virus: Was schlummert da in unserem Körper?

Pfeiffersches Drüsenfieber, Krebs, Multiple Sklerose, Covid-19. Alles vermeintlich völlig unterschiedliche Krankheiten, die aber alle mit dem Epstein-Barr-Virus in Verbindung gebracht werden. Denn das Virus schwelt wie ein niemals vollständig gelöschter Brand in unserem Körper, kann das Immunsystem beeinträchtigen und uns anfälliger für andere Krankheiten machen. Doch wie ist das möglich?
JFR, 26.04.2022
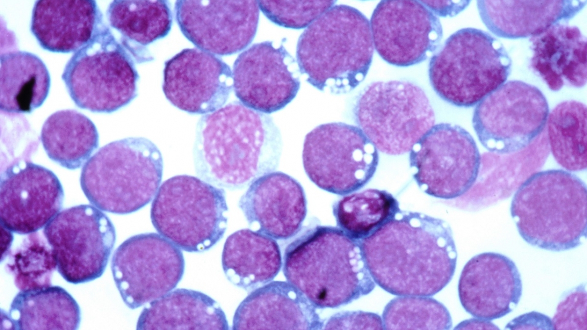
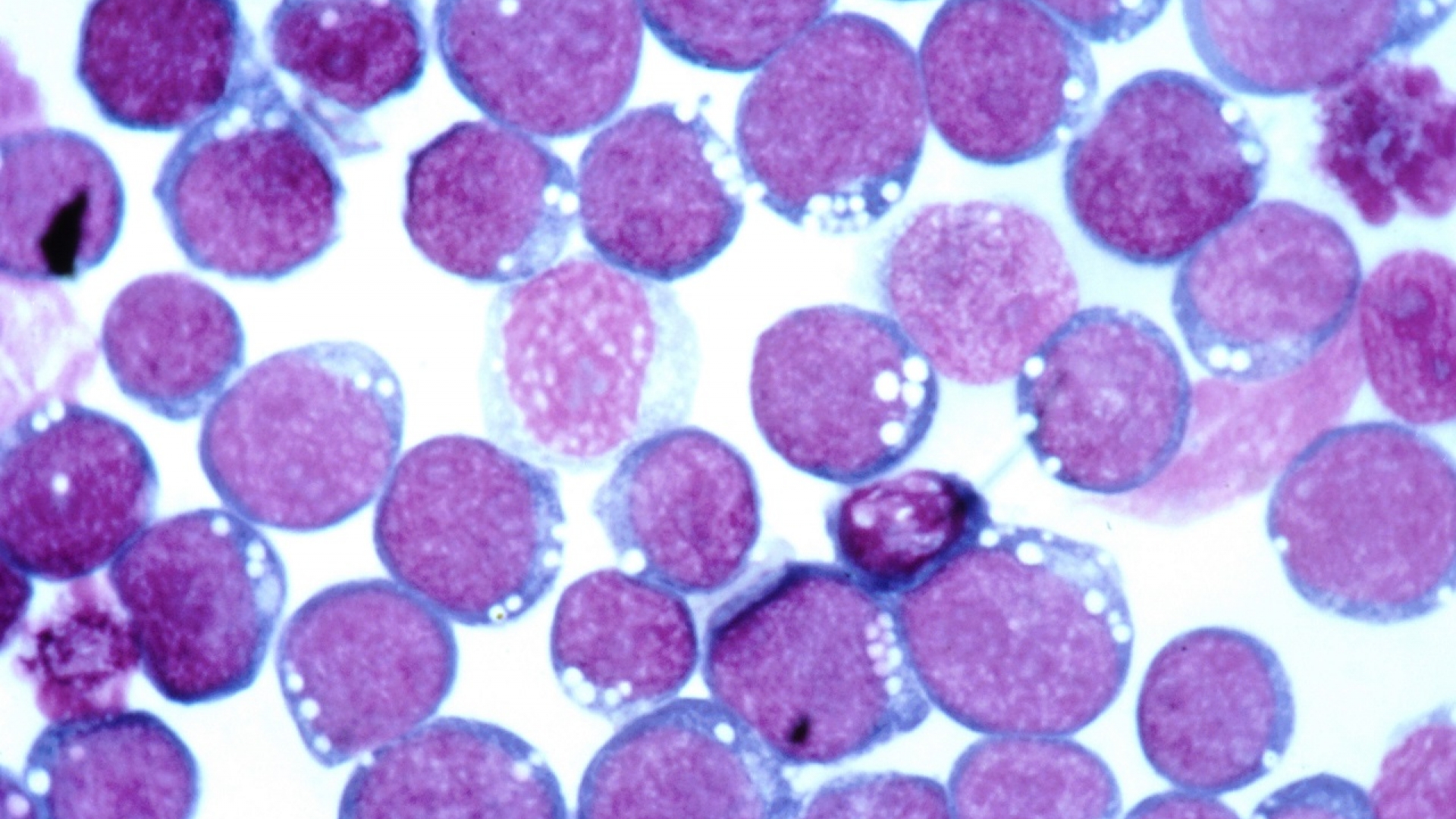
Epstein-Barr Virus (EBV)

National Cancer Institute

Um zu überleben, müssen Viren die Zellen eines Lebwesens infizieren, denn sie können sich nicht allein vermehren, sondern benötigen dafür die Zellmaschinerie einer Wirtszelle. Sie schleusen ihr Erbgut daher in eine fremde Zelle ein und nutzen diese aus, um neue Viruspartikel zu produzieren und freizusetzen. Das Immunsystem des Menschen erkennt die Erreger normalerweise relativ schnell und setzt eine Reihe von Abwehrmechanismen in Gang, um den Erreger abzutöten.

Bevor das geschafft ist, hat der Virus jedoch oft schon andere Menschen infiziert und sein Ziel der Vermehrung längst erreicht. Beim Influenza-Virus und aktuell bei der von SARS-CoV-2 verursachten Covid-19-Pandemie lässt sich dies nur zu gut beobachten. Doch  das Epstein Barr Virus wählt eine etwas andere Strategie.

Fast jeder trägt es in sich

Das Epstein-Barr-Virus (EBV) ist einer der neun bekannten Vertreter der Familie der Herpesviren und hat es geschafft, die Menschheit erfolgreich zu durchseuchen: Etwa 95 Prozent aller Erwachsenen tragen das Virus in sich – und zwar ein Leben lang. Das EPV ist im Vergleich zu anderen Viren ziemlich groß und hat einen komplexen Aufbau, denn sein Erbgut enthält  100 bis 200 Gene. Zum Vergleich: Papillomaviren, die beispielsweise Gebärmutterhalskrebs auslösen, können nur auf etwa neun bis zehn Gene zurückgreifen.

Die Infektion mit Epstein-Barr-Viren über den Speichel tritt häufig bereits im Kindesalter auf und verursacht keine Symptome. Findet der Erstkontakt jedoch später im Jugendalter statt, wird häufig das Pfeiffersche Drüsenfieber ausgelöst. In beiden Fällen entwickelt man jedoch nach der Ansteckung eine Immunität gegen eine erneute Ansteckung. Aber anders als bei anderen Virusinfektionen, wo alle Viren abgetötet und über Körperflüssigkeiten ausgeschieden werden, verbleiben die Epstein-Barr-Viren im Körper.

Aufbau des Epstein-Barr-Virus
Das Epstein-Barr-Virus ist recht groß. Das im im sogennanten Capsid verpackte Erbgut enthält 100 bis 200 Gene, während andere Viren im Extremfall mit weniger als einem Dutzend auskommen.

wirOman, GettyImages

Raffiniert: Virus macht sich unsichtbar

Um dies zu erreichen,, ziehen die Viruspartikel still und leise in unsere B-Zellen ein, einer Untergruppe der weißen Blutkörperchen. Aber müsste unser Immunsystem nicht auf die ungebetenen Gäste aufmerksam werden? Eigentlich schon, doch die Erreger können unserer Abwehr entgehen: Normalerweise sendet eine infizierte Körperzelle Botenstoffe aus, die das Immunsystem alarmieren – doch genau diesen Prozess unterdrücken die Epstein-Barr-Viren und können so unbemerkt über Jahrzehnte in unseren Zellen verweilen.

Ein weiterer Grund, der die Koexistenz der Viren neben unserem Immunsystem ermöglicht, ist, dass sie sich nicht wie andere Viren nach der Infektion sofort vermehren. Denn die große Zahl an neugebildeten und freigesetzten Viruspartikeln würden unsere Immunzellen sofort bemerken. Stattdessen lässt das Virus nur wenige seiner Gene in Proteine umwandeln, die dann lediglich für eine Stabilisierung des EBV-Erbguts im Zellkern sorgen, sodass dieses auch nach Teilung der Zelle noch erhalten bleibt.

Wenn das Virus aufwacht

Mithilfe dieser sogenannten latenten Infektion überdauern die Viren oft Jahrzehnte in unserem Körper. Doch aufgrund von Stress, Schadstoffen aus der Umwelt oder anderen Infektionen kann es zu einer Reaktivierung des EBV kommen. Es wird vermutet, dass solche schwächenden  Faktoren den ruhenden Viren signalisieren, dass jetzt ein guter Zeitpunkt wäre, um unser Immunsystem zu überlisten. Dieses „Aufwecken“ der Viren wird inzwischen mit verschiedenen Krebsarten, Autoimmunerkrankungen und dem chronischen Erschöpfungssyndrom assoziiert.

Auch mit den Langzeitfolgen einer Corona-Infektion, bekannt als „Long-Covid“, wird das Epstein-Barr-Virus inzwischen von einigen Medizinern in Verbindung gebracht. Denn bei bis zu 90 Prozent der akuten Covid-19-Fälle und 73 Prozent der Long-Covid-Patienten ließen sich in Tests reaktivierte Epstein-Barr-Viren nachweisen. Hinzu kommt: „Am häufigsten klagen die Patienten mit Long Covid und aktivem EBV unter Erschöpfung, Kopfschmerzen, Muskelschwäche und Verwirrung“, berichten Forschende um Jeffrey Gold von der World Organization in den USA. Genau diese Symptome sind jedoch auch für akute EBV-Infektionen typisch.

Noch ist dies nur eine Hypothese. Doch sollte sie sich bestätigen, könnte dies neue Ansätze für eine Therapie von Long-Covid eröffnen. Denn es gibt einige antivirale Mittel, die die Vermehrung der reaktivierten Epstein-Barr-Viren zumindest eindämmen können.

Weitere Artikel aus dem Wahrig Herkunftswörterbuch

Weitere Artikel aus dem Vornamenlexikon