Lexikon

Infektinskrankheiten

Inkubationszeit: verschiedene Krankheiten
Inkubationszeiten wichtiger Infektionskrankheiten
KrankheitInkubationszeit
Aids6 Monate10 Jahre und länger
bakterielle Lebensmittelvergiftungwenige Stunden bis 3 Tage
Cholera25 Tage
Denguefieber210 Tage
Diphtherie17 Tage
Fleckfieber1014 Tage
Gelbfieber36 Tage
Gonorrhö (Tripper) meist 3 (27) Tage
Grippe (Influenza)einige Stunden bis 3 Tage
Hepatitis A1250 Tage
Hepatitis B 30180 Tage
Hepatitis C412 Wochen
Hirnhautentzündung (Meningitis epidemica)13 Tage
Keuchhusten714 Tage
Kinderlähmung (Poliomyelitis)714 Tage
Lepraeinige Monate bis 20 Jahre, in der Regel 45 Jahre
Malaria quartana2035 Tage
Malaria tertianameist 820 Tage
Malaria tropicameist 812 Tage
Masern911 Tage, gelegentlich 2 Wochen
Milzbrandwenige Stunden bis mehrere Tage, gelegentlich bis zu 60 Tage
Mumps1721 Tage
Ornithose620 Tage
Pappatacifieber710 Tage
Paratyphusim Mittel 10 Tage
PestLungenpest 12 Tage, Beulenpest bis zu 6 Tage
Ringelröteln1421 Tage
Röteln1421 Tage
Rückfallfieber47 (312) Tage
Ruhr:
Amöbenruhr6 Tage
Bakterienruhr13 Tage
Scharlach24 Tage
Schlafkrankheit320 Tage
Syphilis990 Tage
Tollwutdurchschnittlich 13 Monate (selten bis zu 10 Monate)
Tuberkulose46 Wochen
Typhusdurchschnittlich 10 Tage
Windpocken721 Tage
Wundstarrkrampf (Tetanus)meist 360 Tage
durch Ansteckung mit bestimmten Krankheitserregern (Infektion) hervorgerufene, fast immer mit Fieber einhergehende Krankheiten. Die charakteristischen Krankheitserscheinungen treten erst nach einer bestimmten Inkubationszeit auf; uncharakteristische Erscheinungen, die dem eigentlichen Krankheitsbild oft einige Tage vorausgehen, sind Prodrome oder Prodromalerscheinungen. Nach Abheilung ist in vielen Fällen Immunität entstanden, die eine Wiederholung (ein Rezidiv) derselben Krankheit ausschließt. Indes haben nicht alle Infektionskrankheiten Immunität im Gefolge. Viele Infektionskrankheiten treten seuchenartig in Epidemien auf und wandern über weite Gebiete; daneben kommen sie sporadisch oder immer wiederkehrend in bestimmten Gebieten endemisch vor.
Infektionskrankheiten sind Allgemeinerkrankungen, die sich aber besonders an bestimmten Organen abspielen. So finden sich bei Scharlach, Masern, Typhus, Fleckfieber, Windpocken und Röteln u. a. Ausschläge; am Darmkanal spielen sich z. B. Typhus, Paratyphus und Cholera ab; Blut und Blutkreislauf werden von Malaria und Fleckfieber befallen, Gehirn und Nervensystem von epidemischer Hirnhautentzündung, Kinderlähmung, Genickstarre, Miliartuberkulose u. a. Zur Behandlung der Infektionskrankheiten dienen neben verschiedenen Allgemeinmaßnahmen vor allem Antibiotika und Sulfonamide (Chemotherapie). Zur Bekämpfung der Infektionskrankheiten besteht die Meldepflicht an die Gesundheitsämter (meldepflichtige Krankheiten), die Maßnahmen zur Verhinderung der Weiterausbreitung ergreifen; hierher gehören Isolierung und Desinfektion der Kranken und Impfung der Gesunden zur Immunisierung.
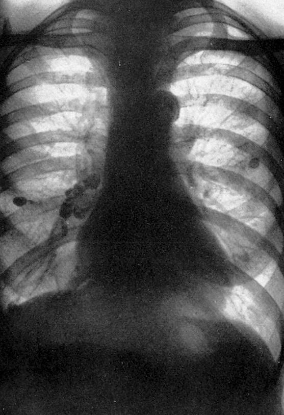
Tuberkulose: Röntgenbild
Tuberkulose: Röntgenbild
Fallbeispiel einer Lungentuberkulose im Röntgenbild: Die dunklen Flecke kennzeichnen die verkalkten Lymphknoten.
Cholera: infiziertes Kind
An Cholera erkranktes Kind
Ein an Cholera erkranktes Mädchen liegt in einem Hospital.
Immanuel_Kant_(1724_bis_1804):_Gemälde_von_Johannes_Heydeck_aus_dem_Jahr_1872_nach_einem_früheren_Portrait_des_Berliner_Malers_Gottlieb_Doebler_1791.
Wissenschaft

Der Kosmologe von Königsberg

Vor 300 Jahren wurde Immanuel Kant geboren. Der Philosoph war auch ein kühner Vordenker in den Naturwissenschaften. von RÜDIGER VAAS Eine „Milchstraße von Welten“ sei nicht mehr als eine Blume oder ein Insekt verglichen mit der ganzen Erde. Was wie ein moderner astronomischer Größenvergleich klingt – veranschaulicht von...

Konkurrenz
Wissenschaft

Wie wir mit Gruppenmitgliedern konkurrieren

Mitglieder einer sozialen Gruppe sind untereinander üblicherweise besonders kooperativ. Je nach Situation können sie einander aber auch zu schärferen Konkurrenten werden als gegenüber Personen außerhalb der Gruppe. Das zeigt eine Studie anhand von Verhaltensexperimenten. Standen Angehörige verschiedener nationaler, ethnischer...

Weitere Artikel aus dem Vornamenlexikon